Ortodoncia en Vigo

Ortodoncia en Vigo Dent & Dent

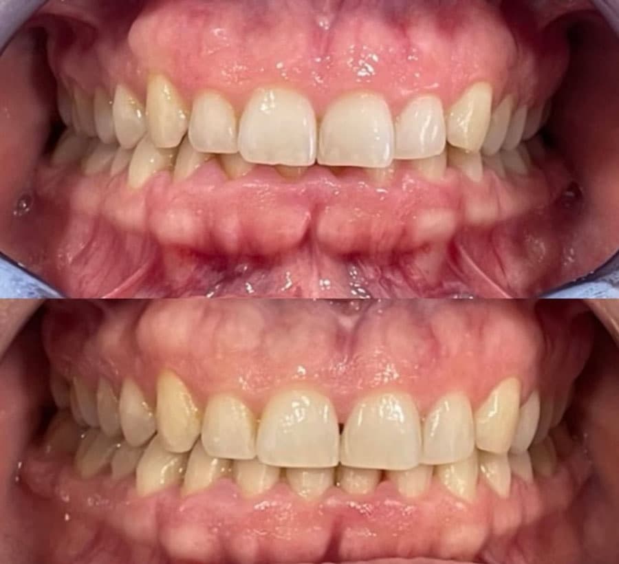
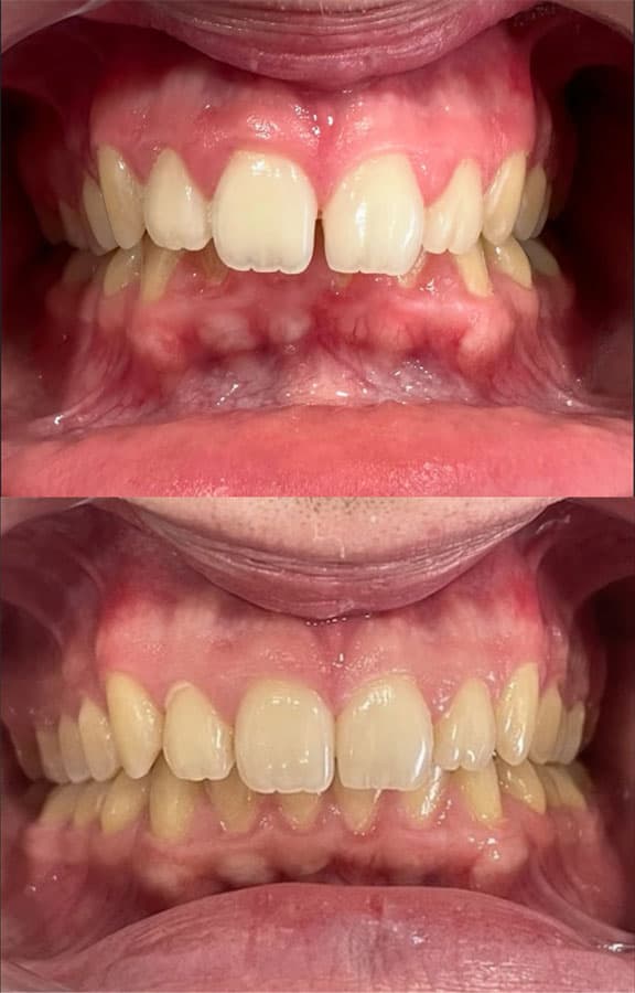
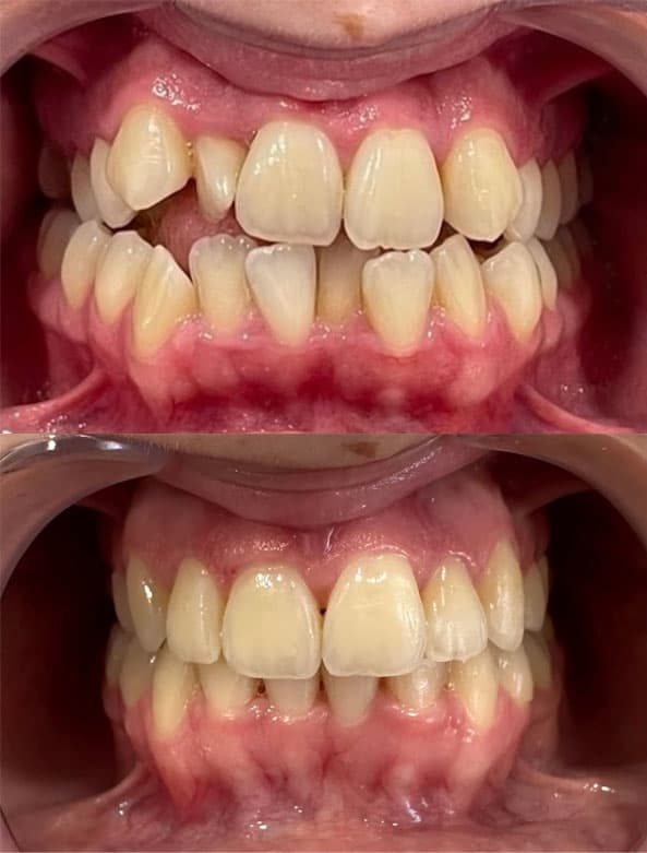
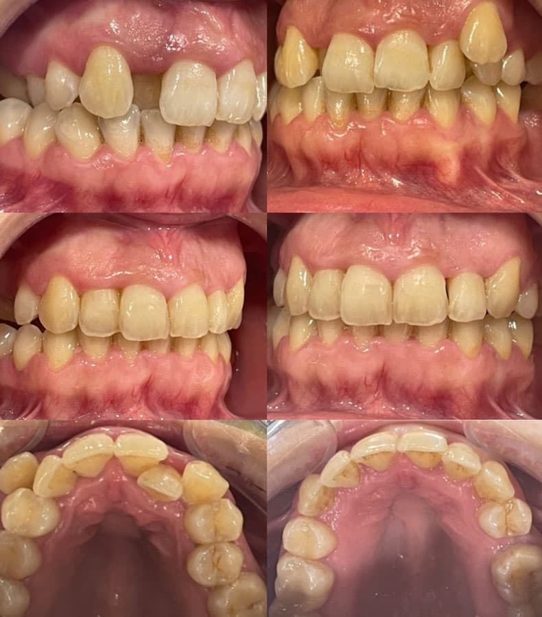
Tratamiento de ortodoncia en Vigo

Tratamiento de ortodoncia en Vigo

La ortodoncia enfrenta problemas que van más allá del movimiento y colocación individual de piezas dentarias. El fin principal de este tratamiento dental es el alineamiento de los dientes, aunque también soluciona problemas en relación con el apiñamiento dental, las rotaciones de dientes, y de manera secundaria se logra un beneficio estético.

Si quieres saber más, nuestros dentistas se encargarán de darte toda la información que necesitas sobre la ortodoncia y cuál es más recomendable en tu caso concreto.

Dentistas expertos en ortodoncia para niños y adultos en Vigo

La ortodoncia es una especialidad que estudia, previene y corrige las alteraciones del desarrollo, las formas de las arcadas dentarias y las posiciones de los maxilares, con el fin de restablecer el equilibrio morfológico y funcional de la boca y de la cara, mejorando también la estética facial.

En la clínica dental Dent & Dent contamos con profesionales debidamente formados que pueden enfrentarse a los problemas diagnósticos y terapéuticos, para unos tratamientos con óptimos resultados.

Además, los brackets están aconsejados para niños y adultos, por lo tanto, nunca es tarde para someterse a un tratamiento de ortodoncia y mejorar nuestra salud bucodental. ¡Te garantizamos un resultado final que superará tus expectativas!

Dentistas ortodoncia niños adultos en Vigo

Dent & Dent, profesionales de la ortodoncia invisible

Ortodoncia invisible Suresmile de Dentsply Sirona en Vigo

Suresmile de Dentsply Sirona

En nuestra clínica dental en Vigo estamos comprometidos con tu sonrisa. Es por esto que trabajamos con una de las mejores casas comerciales del sector: Suresmile de Dentsply Sirona. Así, te brindamos una ortodoncia invisible de calidad, con resultados precisos y garantizados en todo el proceso.

Ortodoncia invisible Discreción y eficacia en Vigo

Discreción y eficacia

Si buscas corregir la alineación de tus dientes pero te preocupa la estética de los brackets, nuestro tratamiento de ortodoncia invisible en Vigo es la solución. Gracias a la tecnología de vangaurdia empleada, esta ortodoncia es muy discreta y es casi imperceptible, sin necesidad de brackets metálicos.

Ortodoncia invisible Mayor comodidad en Vigo

Mayor comodidad

La ortodoncia invisible que ofrecemos en Dent&Dent se adapta por completo a ti. Personalizamos tu tratamiento según tus necesidades específicas, amoldando el material de la ortodoncia invisible a la perfección. Además, este tipo de tratamiento es removible, por lo que puedes quitártelos para comer.

¿Qué beneficios tienen los brackets? en Vigo

¿Qué beneficios tienen los brackets?

Los tratamientos de ortodoncia con brackets son un método fiable para aumentar la estética dental y prevenir posibles problemas derivados de una mala mordida.

Las ventajas de someterse a este tratamiento son muchas y muy variadas, además su porcentaje de éxito es muy elevado.

  • Evita el desgaste dental.
  • Ayuda a reducir posibles problemas periodontales.
  • Favorece a la disminución de lesiones musculares y articulares.
  • Aumenta la autoestima del paciente.
  • El aparato es muy resistente.
  • En algunos casos, el resultado puede verse en poco tiempo.

Empieza con tu tratamiento de ortodoncia

Si quieres concertar una cita con nuestros ortodoncistas en Vigo, no dudes en ponerte en contacto con nuestra clínica dental. Te ofreceremos soluciones personalizadas teniendo en cuenta tu caso concreto.

Contactar