Prótesis dental en Vigo

Prótesis dental en Vigo Dent & Dent

En Dent & Dent fabricamos tu prótesis dental

Los profesionales de nuestra clínica dental en Vigo nos comprometemos por completo con la salud bucodental de nuestros pacientes. Es por esto que uno de nuestros objetivos es devolver la función, anatomía, fonación y estética de la boca cuando nos enfrentamos a la pérdida de uno o más dientes.

Las prótesis pueden ser fijas, como un puente, o prótesis removibles si se pueden quitar. Además, dependiendo de si comprometen toda la boca o un número concreto de dientes, son parciales o completas. En Dent & Dent también trabajamos prótesis sobre dientes naturales o sobre implantes dentales.

Sea cual sea tu caso, no dudes en contactar con nuestros odontólogos para saber qué tipo de prótesis se adapta mejor a tu situación concreta.

 Prótesis fija en Vigo

Prótesis fija

 Prótesis removible en Vigo

Prótesis removible

Prótesis fija en Vigo

Prótesis fija

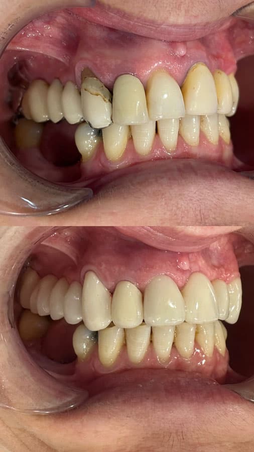
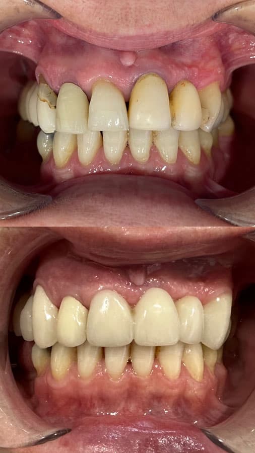
Las prótesis fijas siguen siendo las más utilizadas en los tratamientos de prótesis dental. En nuestra clínica dental en Vigo realizamos tratamientos de prótesis fijas, evaluando previamente cada caso, para conseguir siempre los mejores resultados.

Las prótesis fijas pueden dividirse en dos grupos, las prótesis fijas que se colocan sobre los dientes naturales del paciente o las que se colocan sobre implantes dentales.

  • Prótesis fijas sobre dientes: son las que van sujetas a los dientes naturales y sanos del paciente.
  • Prótesis fijas sobre implantes dentales: los implantes desempeñan la función de la raíz del diente y sobre estos se sujeta la prótesis.

¿Cómo es el proceso de colocación de las prótesis?

Depende del tipo de prótesis que se vayan a instalar, las más comunes son:

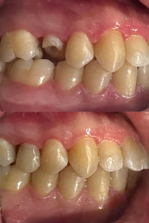
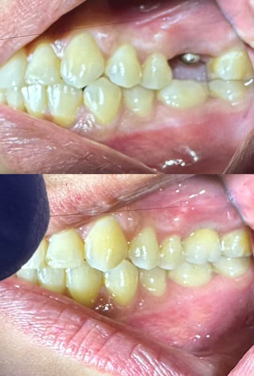
Coronas

Son prótesis individuales que se colocan sobre los dientes del paciente. Es necesario tallar el diente natural para su colocación.

Dentaduras

Son piezas que sustituyen todos los dientes del paciente y se atornilla sobre unos implantes dentales.

Puentes dentales

Son prótesis que se colocan sobre los dientes del paciente, utilizadas para reponer una o varias piezas dentales. Es necesario tallar o desgastar los dientes que se encuentran a ambos lados de la pieza que falta para su colocación.

En nuestra clínica dental de Vigo, nos encargamos de darte toda la información que necesitas sobre las prótesis fijas. ¡Consúltanos!

Prótesis removible

Una prótesis dental removible es una estructura metálica con varios dientes artificiales fijados en sus laterales. Para ofrecer una mejor fijación, las prótesis dentales removibles se anclan a los dientes que el paciente aún conserva en su boca mediante unas sujeciones metálicas.

Ventajas de las prótesis dentales removibles

En Dent & Dent recomendamos este tratamiento a todas aquellas personas que por razones médicas no puedan optar a las prótesis fijas.

  • Mejora la estética dental del paciente.
  • Mejora la pronunciación y la fonética.
  • Mejora la autoestima de la autoestima.
  • Mejora la calidad de vida del paciente.
Prótesis removible en Vigo

¿Necesitas una prótesis dental en Vigo?

¿Has perdido alguna pieza dental o quieres recuperar la funcionalidad de tu dentadura? Contacta con Dent & Dent. En nuestra clínica dental encontrarás a los mejores profesionales, pide ya tu cita y visítanos.

Contactar