Sonrisas perfectas con odontología estética en Vigo

Sonrisas perfectas con odontología estética en Vigo

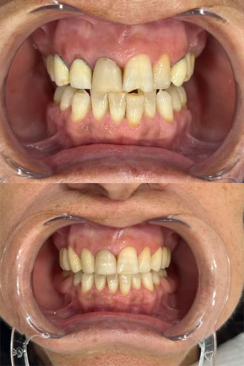
Mejora tu sonrisa
En Dent & Dent te ayudamos a recuperar la confianza

En Dent & Dent te ayudamos a recuperar la confianza

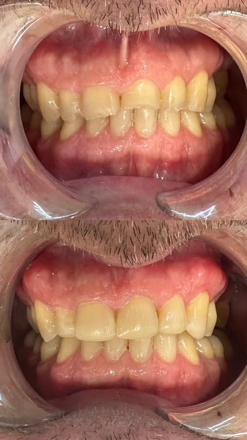
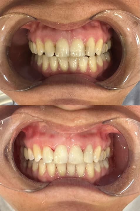
En nuestra clínica dental solucionamos toda clase de problemas relacionados con la odontología estética en Vigo con el fin de lograr la armonía de tu sonrisa.

Si lo que buscas es dar un mejor aspecto a tus dientes para sonreír con confianza, ponte en contacto con nuestros dentistas. Estudiaremos de forma individualizada cuál es el tratamiento que mejor se adapta a tus necesidades y objetivos estéticos.

Nuestros tratamientos de estética dental en Vigo

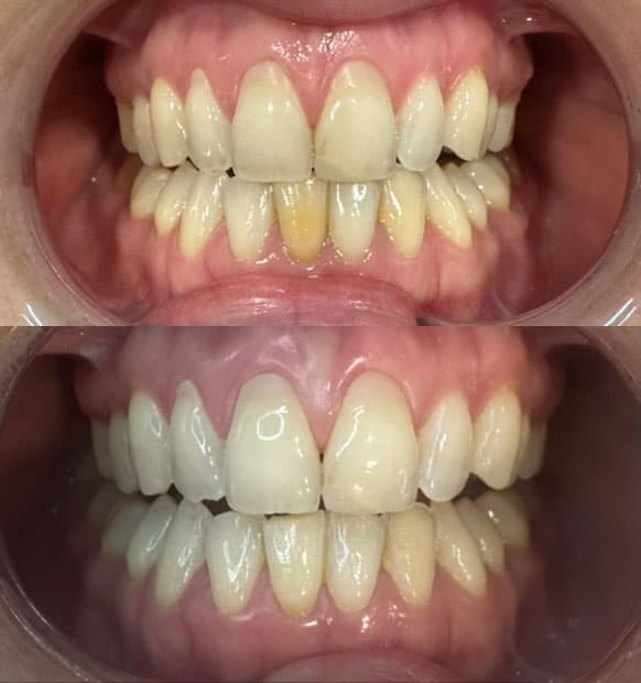
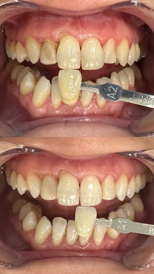
Blanqueamiento dental

Contamos con tratamientos de blanqueamiento dental en nuestra clínica y a domicilio, los cuales aclaran el diente mediante la acción de un gel (peróxido de hidrógeno o carbamida) en diferentes concentraciones que penetran en él y se liberan poco a poco.

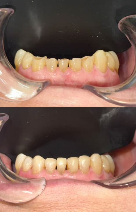
Cierre de diastema y corrección de asimetrías dentarias

Los diastemas pueden deberse a una diferencia en los tamaños de los dientes, a la falta de algún diente o a que el frenillo labial sea demasiado grande. Existen diversos tratamientos para el cierre de diastema, por lo que llevamos a cabo un estudio personalizado.

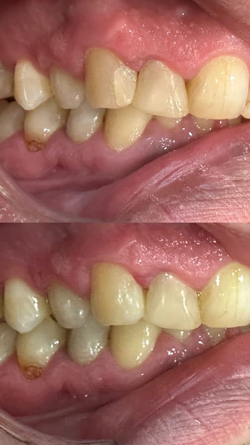
Restauración de caries de cuello

El tratamiento más utilizado para tratar la caries dental es la obturación, es decir, la remoción de todo el tejido cariado y la posterior restauración con un material biocompatible. De este modo, el diente recupera su función y su estética.

Recambio de amalgamas por restauraciones con luz halógena

Recambio de amalgamas por restauraciones de composite. Este tratamiento especializado se realiza mediante la eliminación del material restaurador metálico y sustitución por composite del mismo color del diente. Si quieres mejorar la estética de tus dientes, encontraremos el tratamiento que mejor se adapte a tus necesidades.

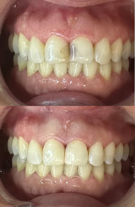
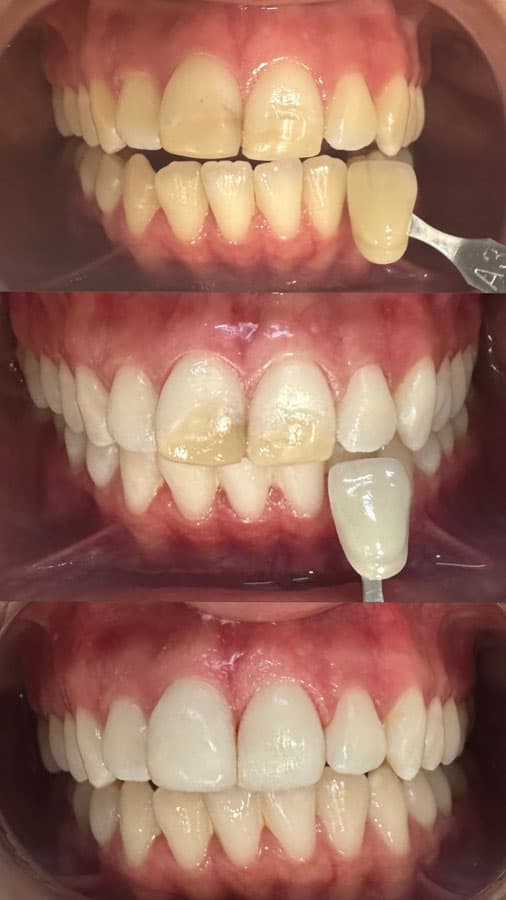
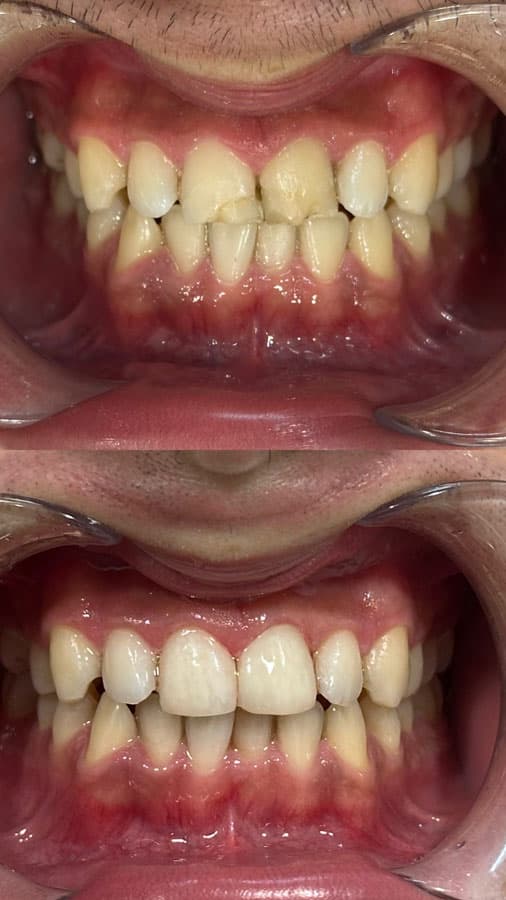
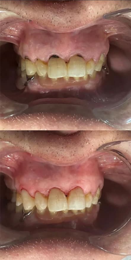
Carillas estéticas

Este tratamiento, totalmente indoloro, consiste en cementar finas láminas de cerámica sobre la superficie de la cara externa del diente, que camufla la pieza dental real, proporcionando un aspecto más estético a la sonrisa.

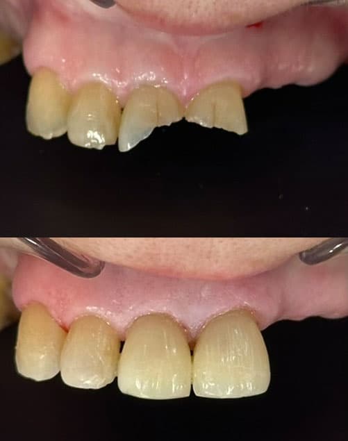
Reconstrucción de fracturas

Si la fractura dental abarca el esmalte y la dentina, evaluaremos cada caso y repararemos de la misma manera el diente fracturado y, dependiendo de la extensión de la fractura, se realizará la reconstrucción de la pieza mediante composite, una incrustación o una corona (o funda) si el diente está muy debilitado.

Ventajas de nuestros tratamientos estéticos en Vigo

Tratamientos personalizados
Procedimientos indoloros
Resultados naturales

Tratamientos personalizados

Diseñamos cada tratamiento según las necesidades y expectativas de cada paciente, para que su sonrisa sea única y se adapte perfectamente a su rostro.

Procedimientos indoloros

Utilizamos materiales y técnicas modernas para que los tratamientos sean cómodos, prácticamente sin dolor y con el mínimo periodo de recuperación posible.

Resultados naturales

Nuestro objetivo es lograr una sonrisa estética que se vea natural, cuidando tanto la forma como el color de los dientes para que refleje salud.

Damos respuesta a tus dudas sobre odontología estética

¿Qué tipos de blanqueamiento dental ofrecéis?

Como especialistas en odontología estética en Vigo, ofrecemos tanto blanqueamiento en clínica como a domicilio.

¿Qué es el blanqueamiento interno y cuándo se recomienda?

Es un blanqueamiento aplicado desde el interior del diente endodonciado que con los años se ha oscurecido. Suele lograrse una mejora visible en 1–2 sesiones, con resultados apreciables desde la primera.

¿Realizáis un recambio de amalgamas por materiales estéticos?

, ofrecemos el recambio de amalgamas por materiales estéticos.

¿Ofrecéis carillas y de qué materiales?

¡Por supuesto! Ofrecemos carillas de cerámica y composite.

¿Qué son las incrustaciones?

Son restauraciones parciales, de composite o disilicato de litio, que permiten conservar más estructura dental. Son una alternativa a la corona, evitando desgastar todo el diente.

Damos respuesta a tus dudas sobre odontología estética

Nuestros tratamientos de odontología estética

¡Nuestros odontólogos te devolverán la sonrisa!

¡Nuestros odontólogos te devolverán la sonrisa!

No importa cuál sea el tratamiento de estética dental que busques. Visita nuestra clínica dental en Vigo y lo solucionaremos con la mayor brevedad posible para que puedas presumir de sonrisa.

Contactar